病気

距骨骨軟骨損傷(離断性骨軟骨炎)

紹介状を
お持ちの方へ

紹介状を
お持ちでない方へ

2020-12-09

スポーツ整形

距骨骨軟骨損傷(離断性骨軟骨炎)【スポーツ整形外科】

軟骨とその下の骨が剥がれてきて痛みが出る。
⇒骨穿孔/骨軟骨片固定/骨軟骨柱移植

患部の状態により最適な治療方法を選択します。

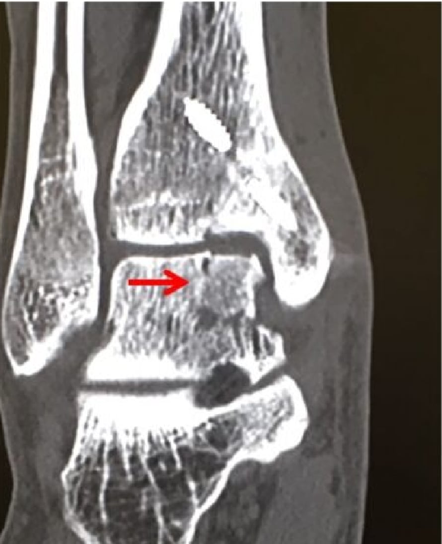
距骨骨軟骨損傷のCT画像
骨軟骨柱移植前

骨軟骨柱移植前

骨軟骨柱移植後

骨軟骨柱移植後

術後6ヶ月経過CT 1
術後6ヶ月経過CT 2

骨軟骨柱移植術後CT

杉本 武

杉本 武

副院長/スポーツ整形外科センター長

関連ページ