2023-07-08
人工関節外科1. 股関節の構造と機能
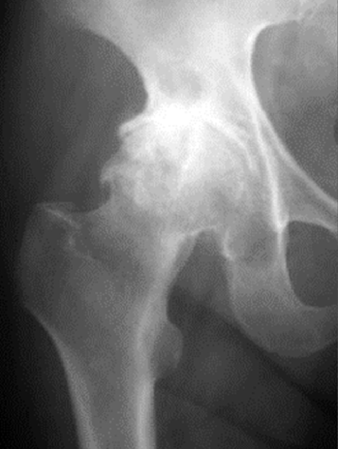
股関節は、骨盤の臼蓋(きゅうがい)と大腿骨の大腿骨頭から形成されています(図1)。
臼蓋の寛骨臼の表面と大腿骨頭の表面は軟骨で覆われています(図2)。軟骨には、衝撃を吸収し足の動きを滑らかにする重要な働きが有ります。また、股関節の構造は球関節でお椀のような臼蓋と扇状の大腿骨頭からなる関節で自由度の高い運動が可能な関節です。

図1. 股関節のレントゲンと構造

図2. 股関節の構造
軟骨:衝撃を吸収し動きを滑らかにする。
球関節:最も自由度の高い運動が可能
2. 股関節のはたらき
股関節は、人体で最大の関節として体重を支え、歩く、立つ、しゃがむなど足の様々な運動を可能にしています。その際、最も作用する筋肉としては中殿筋(図3)が重要で、この筋肉を鍛えることで股関節疾患を予防したり痛みを和らげます。
- 最大の関節
- 歩行時には体重の約3倍の重さがかかる。
- 歩く、立つ、しゃがむなどの下肢の運動を可能にする。

図3. 股関節のはたらき
3. 主な股関節症
主な股関節症には、変形性股関節症(図4)、大腿骨頭壊死症(図5)、関節リウマチ(図6)などがあります。

図4. 変形性股関節症

図5. 大腿骨頭壊死症
(赤矢印が骨頭壊死部分)

図6. リウマチ性股関節症
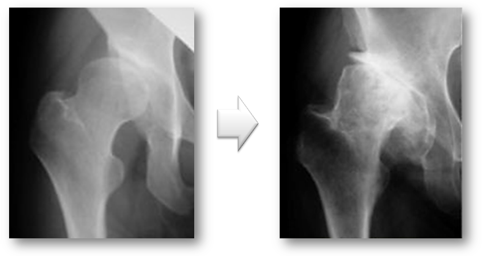
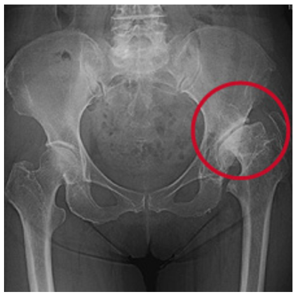
4. 変形性股関節症
変形性股関節症には、一次性と二次性があります。一次性は、長い年月を経てあるいは関節の使いすぎによって軟骨が消耗して起こります。二次性は、乳児期の股関節の脱臼や発育不全などの臼蓋形成不全によって早期から起こる変形性股関節症です。
レントゲンで見ると一次性は、正常な股関節が長い年月や股関節の使い過ぎによって軟骨が消耗して変形性股関節症が発症します(図7)。二次性は、元々臼蓋形成不全により体重がかかる部分が限られており早期なら軟骨が消耗し変形性股関節症になります(図8)。

図7. 一次性の変形性股関節症
長い年月を経て、あるいは関節の使いすぎによって起こる。

図8. 二次性の変形性股関節症
乳児期の股関節の脱臼や股関節の発育が悪いこと(臼蓋形成不全)が原因で起こる。
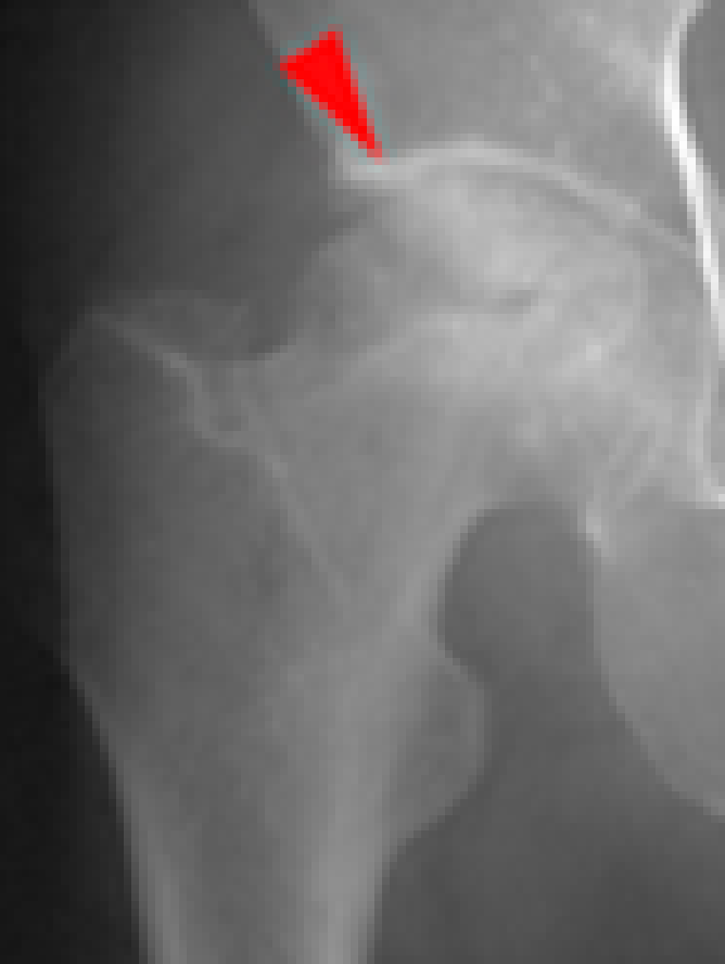
5. 大腿骨頭壊死症
大腿骨頭壊死症は、大腿骨頭への血流障害によって股関節が破壊される病気で(図9赤矢印)原因は分かっておらず難病指定されています。しかし、ステロイド剤を多量に使用したパルス療法やアルコール多飲歴の有る方に多く発症しやすい傾向があります。
- 大腿骨頭への血流障害によって股関節が破壊される病気
- 原因不明
- ステロイド剤を多量に使用した場合やアルコール摂取量の多い人に発症することが多い

図9. 代替骨頭壊死症(赤矢印が壊死部分)
6. 関節リウマチ
自己免疫疾患で関節内に炎症が起こり、関節の破壊を生じる疾患です(図10)。近年では、早期診断が可能となり生物学製剤の登場により手術適応となる変形例は激減しています。
- 自己免疫疾患
- 関節内で炎症が起こり、関節の破壊を生じる
- 近年は早期診断可能となり生物学製剤の登場により手術適応となる変形例は激減

図10. 関節リウマチ
7. 股関節症の病態
股関節症の症状が進行すると軟骨が消失し、関節が破たんします(図11)。
その結果、股関節機能の障害が生じます。

図11. 股関節症の病態
8. 股関節機能の障害
軟骨が消失すると骨と骨が擦れて痛みが生じ、関節が破たんすると関節が自由に動けなくなります(図12)。

図12. 股関節機能の障害
9. 股関節症の具体的な症状
股関節症では、①「股関節が痛い」②「股関節が固い」の他に、股関節の変形により骨が短くなる③「下肢が短い」、①、②、③により足が使いにくくなり生じる④「筋力が弱い」があります(図13)。
これらの4つの症状が股関節症の具体的な症状になります。
- ①股関節が痛い
- ②股関節が固い
- ③下肢が短い
- ④筋力が弱い
治療はこれらの4つ症状をすべて改善することを目指します。

図13. 股関節症の症状




