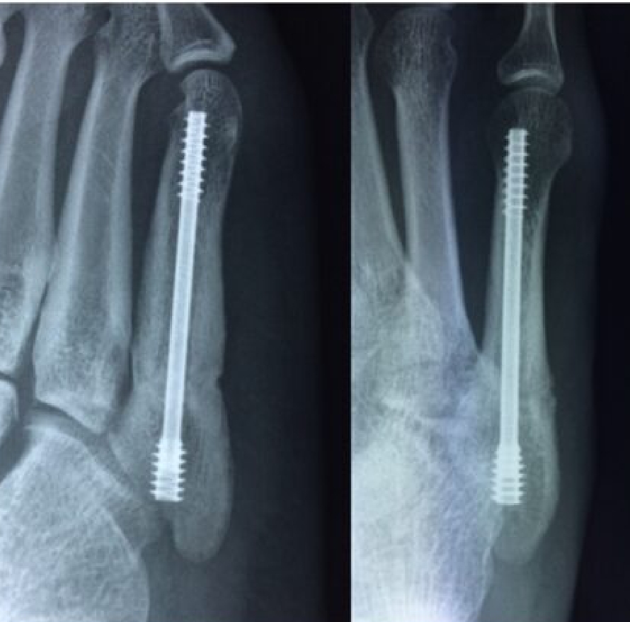
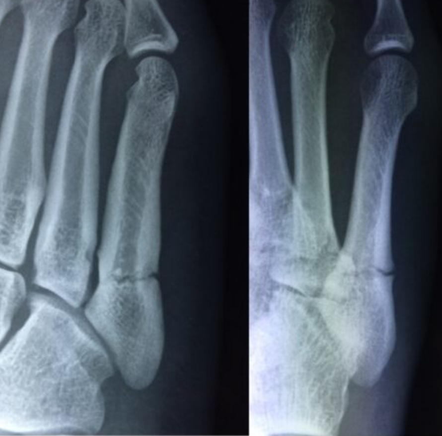
2020-12-09 スポーツ整形 ページ内リンク 第5中足骨骨折(ジョーンズ骨折)【スポーツ整形外科】 第5中足骨骨折(ジョーンズ骨折)【スポーツ整形外科】 サッカーやバスケット等の切り返しの多い競技にしばしば発生する。⇒スクリューによる固定で2〜3か月で復帰。 術前 術後 術後12週間 杉本 武 副院長/スポーツ整形外科センター長 整形外科スポーツ整形 詳しく見る 板野 佑生 整形外科スポーツ整形 詳しく見る 関連ページ スポーツ整形 一覧へ戻る